ΣΥΝΗΘΕΙΣ ΟΡΘΟΔΟΝΤΙΚΕΣ ΘΕΡΑΠΕΙΕΣ
bestdrosia2025-03-27T13:21:53+00:00
bestdrosia2025-03-27T13:21:53+00:00
bestdrosia2025-03-27T13:21:53+00:00
bestdrosia2025-03-27T13:21:53+00:00
bestdrosia2025-03-27T13:21:54+00:00
bestdrosia2025-03-27T13:21:54+00:00
ΣΥΝΗΘΕΙΣ ΟΡΘΟΔΟΝΤΙΚΕΣ ΘΕΡΑΠΕΙΕΣ
ΟΡΘΟΔΟΝΤΙΚΗ ΣΕ ΣΥΝΔΥΑΣΜΟ ΜΕ ΟΡΘΟΓΝΑΘΙΚΗ ΧΕΙΡΟΥΡΓΙΚΗ
bestdrosia2025-03-27T13:21:53+00:00
bestdrosia2025-03-27T13:21:53+00:00
bestdrosia2025-03-27T13:21:53+00:00
bestdrosia2025-03-27T13:21:53+00:00
ΟΡΘΟΔΟΝΤΙΚΗ ΣΕ ΣΥΝΔΥΑΣΜΟ ΜΕ ΟΡΘΟΓΝΑΘΙΚΗ ΧΕΙΡΟΥΡΓΙΚΗ
bestdrosia2025-03-27T13:21:53+00:00
bestdrosia2025-03-27T13:21:53+00:00
bestdrosia2025-03-27T13:21:53+00:00
bestdrosia2025-03-27T13:21:53+00:00
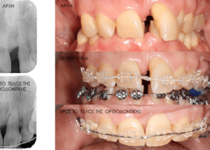
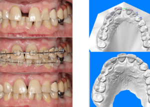
ΠΡΟΠΡΟΣΘΕΤΙΚΗ ΟΡΘΟΔΟΝΤΙΚΗ
bestdrosia2025-03-27T13:21:53+00:00
ΠΡΟΠΡΟΣΘΕΤΙΚΗ ΟΡΘΟΔΟΝΤΙΚΗ
bestdrosia2025-03-27T13:21:53+00:00






























